症例紹介
審美治療
歯の白濁(ホワイトスポット)除去治療

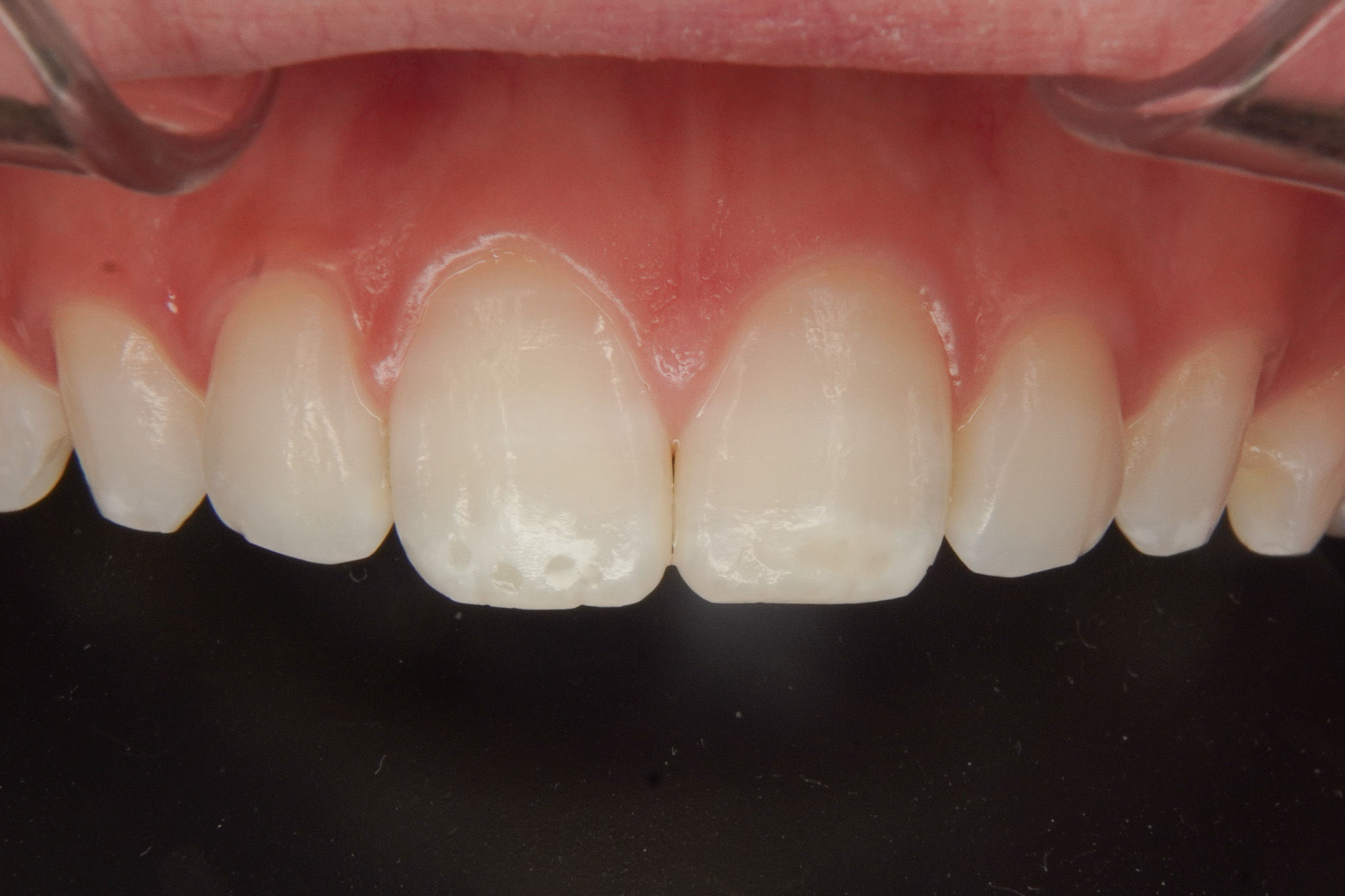
BEFORE

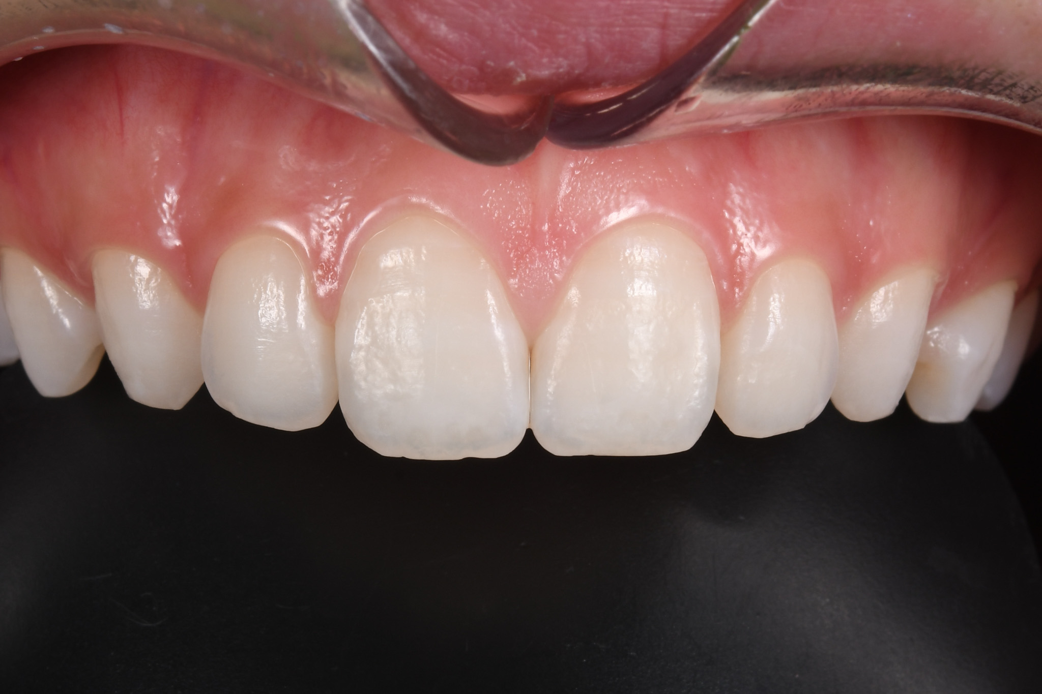
AFTER
症例情報
| 主訴 | 歯の白濁部が気になる。 ホワイトニングを行ったが改善しなかった。 |
|---|---|
| 診断名 | エナメル質形成不全 |
| 年齢・性別 | 10代・女性 |
| 治療期間・回数 | 1回 |
| 治療方法 | 1.施術部位の歯表面を徹底的に研磨 2.白濁部分に薬剤を塗布し、白濁部分にレジンが浸透しやすくする 3.白濁部に浸透性レジンを浸透 4.浸透させたレジンを光硬化 5.施術部位の研磨 |
| 費用 | 1歯 20,000円(本症例はモニター価格にて施術) |
| デメリット・注意点 | ICON治療だけでは改善しない場合もあります。 ・深いむし歯による変色 ・エナメル質の形成不全が強い ・茶色や濃い変色要になる場合があります。 |
治療詳細

「歯の白い斑点」諦めていませんか?
「歯の白い斑点、ずっと気になってた…」という方へ。それは「ホワイトスポット」かもしれません🦷✨せっかくホワイトニングをしても、白い斑点だけが目立ってしまってショックを受けたことはありませんか?原因は、初期虫歯やエナメル質の形成不全。「削るしかない」と思って放置していませんか?今回、過去にホワイトニングしたけど歯の白濁が改善せず、歯を削ることを決心され当院に来院された症例をご紹介いたします。

ICON治療とは?
歯を削らず、透明な樹脂をエナメル質の中に浸透させることで白濁を目立ちにくくする治療です。✅ 歯を削らない✅麻酔なしで痛くない✅ 1回の治療で改善が期待できる(30~60分)✅ 歯の寿命を縮めないのがICON治療の特徴です。

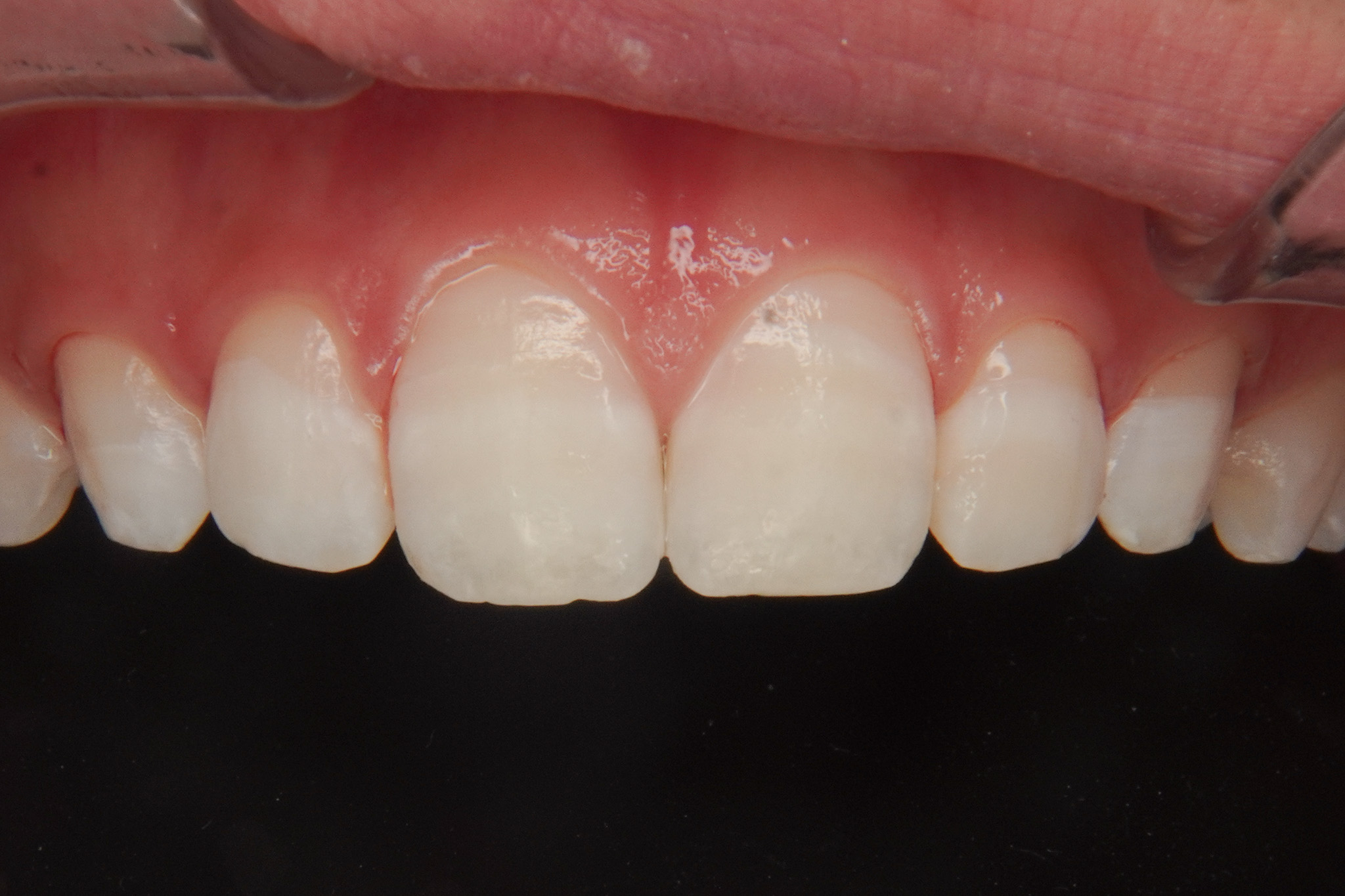
施術直後
治療前には前歯のあちこちに白濁が確認されました。本患者様は今までに虫歯になったことがなく全ての歯に治療跡がありませんでした。そんな中、積極的に歯を削るのは望ましくないと思い、ICON治療による白濁の改善についてご説明したところ同意いただけました。非常に強い薬剤を使用するため施術時はラバーダムというゴムのマスクを装着します。施術直後はホワイトスポットがほとんど目立たなくなっていますが、歯の乾燥により歯が白くなりわかりにくくなっている可能性もあるため、術後の評価は後日に行います。

施術1週間後
わずかに白濁部の面影が感じられるかもしれませんが、ホワイトスポットはほとんど改善され前歯が更に美しくなりました。 この状態でもやっぱり気になるという場合はホワイトニングを追加し、歯を更に白くすることでより目立たなくすることが可能です。 本症例では患者様も削る覚悟で来院されてたこともあり、ホワイトスポットが目立たなくなったことに大変喜んでいただけました。

