GREETING

患者様のお声をお聞きし、
最適な治療をご提案します。
当院では、治療を行うにあたって、患者様のお声をしっかりとお聞きし、患者様にとって最適な治療となるよう努めております。
その為、治療前に各種検査を行い、検査結果から診断を行い、治療方針について充分にカウンセリングをした後に治療に移行します。
TREATMENT 診療案内

総合歯科診療
当院では、むし歯や歯周病の治療など一般的な診療から、高度なインプラント治療や大人・子どもの矯正治療、顎関節の治療まで幅広い診療に対応しております。
地域の皆様のホームドクターとしての様々な症状に対応しておりますので、お口のトラブルはぜひ当院にお任せください。

子どもの矯正
悪いかみ合わせが子どもの頃から癖づいてしまうと、姿勢が悪くなったり、十分に消化ができなくなるなど、全身の発育に多大な影響を与えます。
お子さまの矯正においては、成長期のあいだに正しいかみ合わせに導き、歯並びをきれいにするだけではなく、これからの健やかなからだづくりにつなげます。

かみ合わせ治療
当院は歯の健康を守ることはもちろん、かみ合わせまでしっかり守ることで、お口から健康から、全身の健康をお守りしたいと考えています。一般の歯科治療に加え、高度なインプラント治療や矯正歯科治療に力を入れ、いわゆる総合歯科診療を行っています。
特に矯正歯科については徳島県内唯一の非抜歯矯正専門です。
お口のお悩み解決しませんか?
マイクロスコープによる
精密歯科治療
マイクロスコープは、お口の中を高倍率で見ることができる装置です。
一般的に根管治療に使用されることが多いですが、
当院ではむし歯・歯周病の治療や詰め物の適合性を確かめるなど、
より精度の高い治療を提供できるよう、様々な治療において活用しています。
CASE 症例紹介
-
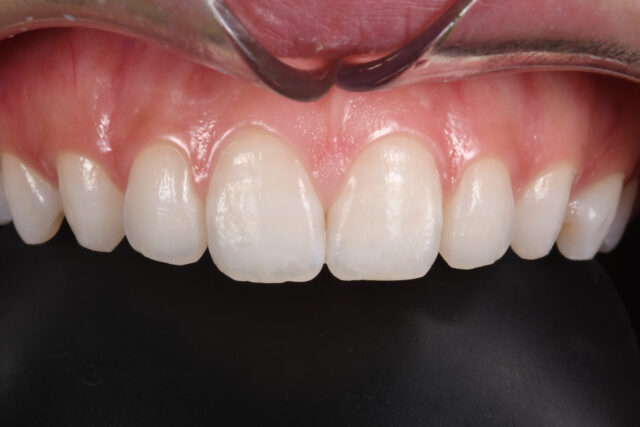
審美治療
歯の白濁(ホワイトスポット)除去治療

BEFORE

AFTER
詳しくはこちら主訴 歯の白濁部が気になる。
ホワイトニングを行ったが改善しなかった。診断名 エナメル質形成不全 年齢・性別 10代・女性 治療期間・回数 1回 治療方法 1.施術部位の歯表面を徹底的に研磨
2.白濁部分に薬剤を塗布し、白濁部分にレジンが浸透しやすくする
3.白濁部に浸透性レジンを浸透
4.浸透させたレジンを光硬化
5.施術部位の研磨費用 1歯 20,000円(本症例はモニター価格にて施術)
デメリット・注意点 ICON治療だけでは改善しない場合もあります。
・深いむし歯による変色
・エナメル質の形成不全が強い
・茶色や濃い変色要になる場合があります。 -
かみ合わせ治療大人の矯正矯正
成人矯正・叢生(歯のガタガタ)・過蓋咬合の症例

BEFORE

AFTER
詳しくはこちら主訴 かみ合わせがズレてきている感じがする。
顎が疲れる感じがする。診断名 Low Angle Class Ⅰ Deepbite(骨格性1級過蓋咬合) 年齢・性別 20代・男性 治療期間・回数 治療期間:1年9ヶ月 治療方法 マルチブラケット装置(全ての歯に装置をつける方法)とオーバーレイ(かみ合わせの変更を促す被せ物)を使用した全顎矯正治療(ワイヤー矯正) 費用 矯正治療費用:770,000円(税込)
調整費用:5,500円 × 19回(税込)
リテーナー費用:33,000円 × 2個(税込)
※矯正治療期間中に行うクリーニングや虫歯治療等は別途デメリット・注意点 ・保険適用外のため、自由診療になります。
・顎間ゴムの使用などの患者様の協力が必要です。(協力が得られない場合、満足いく結果が得られないことがあります)
・歯の移動に伴う歯肉退縮や歯根吸収が起こる事があります。
・歯の移動に伴う痛みがあります。
・治療中虫歯、歯周病のリスクが高くなります。備考 ・保険適用外のため、自由診療になります。
・第三大臼歯(親知らず)は事前に抜歯します。
・矯正治療に伴う期間や装置などは事前にご説明をしますが、治療の状況や経過によって変更が必要になることがあります。 -
かみ合わせ治療大人の矯正矯正
成人矯正・叢生の症例【前歯のガタガタの治療】

BEFORE

AFTER
詳しくはこちら主訴 歯ならび・かみ合わせを治したい。 診断名 High Angle ClassⅡ
叢生年齢・性別 10代・女性 治療期間・回数 2年4ヶ月・通院28回 治療方法 マルチブラケット装置(全ての歯に装置をつける方法)を使用した全顎矯正治療(ワイヤー矯正) 費用 総額¥1,061,000(税込)(調整費用、検査費用、リテーナー費用を含む) デメリット・注意点 ・保険適用外のため、自由診療になります。
・歯の唇側につける装置のため違和感がでやすいです。
・人によっては痛みを感じることがあります。
・歯肉退縮や歯根吸収が起こることがあります。備考 第三大臼歯(親知らず)のみ抜歯、外科手術なし
ワイヤー装置で歯が動くときに痛みがあります。
顎間ゴムの装着などの協力が得られない場合、治療が進行しないことがあります。
歯の移動に伴う歯肉退縮や歯根吸収が起こることがあります。
※症例は当院の一例です。治療内容には個人差がありますので詳しくはご相談ください。 -
ダイレクトボンディング歯髄温存療法精密歯科診療
コンポジットレジンを用いたダイレクトボンディング症例・歯髄温存療法

BEFORE

AFTER
詳しくはこちら主訴 歯がしみる 診断名 C3(歯髄まで到達するう蝕) 年齢・性別 20代・女性 治療期間・回数 1回 治療方法 歯髄温存療法
ダイレクトボンディング費用 ラバーダム・う蝕処置:11,000円(税込)
歯髄温存処置:11,000円(税込)
ダイレクトボンディング:27,500円(税込)デメリット・注意点 歯髄の保存は絶対的ではなく、時間経過と共に歯髄が壊死する場合があります。
術後一時的に痛みを伴う場合があります。
充填材料は経年的に劣化します。備考 通常神経への処置を施す場合は治療回数を2回頂いていますが、今回患者様のご希望により1回の処置で全て治療を行いました。 -
かみ合わせ治療大人の矯正矯正
成人矯正・開咬の症例

BEFORE

AFTER
詳しくはこちら主訴 上下の前歯が開いている。
前歯で噛めない。診断名 High Angle Skeletal ClassⅡ Openbite(骨格性2級開咬) 年齢・性別 39歳・女性 治療期間・回数 14ヶ月・18回 治療方法 マルチブラケット装置(全ての歯に装置をつける方法)を使用した全顎矯正治療(ワイヤー矯正) 費用 矯正治療費用:770,000円(税込)
調整費用:5,500円 × 18回(税込)
リテーナー費用:33,000円 × 2個(税込)
※矯正治療期間中に行うクリーニングや虫歯治療等は別途デメリット・注意点 ・保険適用外のため、自由診療になります。
・顎間ゴムの使用などの患者様の協力が必要です。(協力が得られない場合、満足いく結果が得られないことがあります)
・歯の移動に伴う歯肉退縮や歯根吸収が起こる事があります。
・歯の移動に伴う痛みがあります。
・治療中虫歯、歯周病のリスクが高くなります。備考 ・保険適用外のため、自由診療になります。
・第三大臼歯(親知らず)は事前に抜歯します。
・矯正治療に伴う期間や装置などは事前にご説明をしますが、治療の状況や経過によって変更が必要になることがあります。
RECRUIT 採用情報

佐賀歯科医院で
一緒に働いてみませんか?
当院では現在、歯科衛生士、歯科助手を募集しております。
歯科衛生士、歯科助手としての成長をしっかりサポートします。
患者担当制ですので衛生士としてやりがいをもって働けます。
私たちと一緒に、患者さまの健康作りをサポートしませんか?
医療DX推進体制整備について
当院では、医療DX推進の体制に関する事項及び質の高い診療を実施するための十分な情報を取得・活用して診療を行っております。
マイナンバーカードの健康保険証利用の使用についてご案内を行っています。









