症例紹介
かみ合わせ治療大人の矯正矯正
成人矯正・叢生(歯のガタガタ)・過蓋咬合の症例

BEFORE

AFTER
症例情報
| 主訴 | かみ合わせがズレてきている感じがする。 顎が疲れる感じがする。 |
|---|---|
| 診断名 | Low Angle Class Ⅰ Deepbite(骨格性1級過蓋咬合) |
| 年齢・性別 | 20代・男性 |
| 治療期間・回数 | 治療期間:1年9ヶ月 |
| 治療方法 | マルチブラケット装置(全ての歯に装置をつける方法)とオーバーレイ(かみ合わせの変更を促す被せ物)を使用した全顎矯正治療(ワイヤー矯正) |
| 費用 | 矯正治療費用:770,000円(税込) 調整費用:5,500円 × 19回(税込) リテーナー費用:33,000円 × 2個(税込) ※矯正治療期間中に行うクリーニングや虫歯治療等は別途 |
| デメリット・注意点 | ・保険適用外のため、自由診療になります。 ・顎間ゴムの使用などの患者様の協力が必要です。(協力が得られない場合、満足いく結果が得られないことがあります) ・歯の移動に伴う歯肉退縮や歯根吸収が起こる事があります。 ・歯の移動に伴う痛みがあります。 ・治療中虫歯、歯周病のリスクが高くなります。 |
| 備考 | ・保険適用外のため、自由診療になります。 ・第三大臼歯(親知らず)は事前に抜歯します。 ・矯正治療に伴う期間や装置などは事前にご説明をしますが、治療の状況や経過によって変更が必要になることがあります。 |
治療詳細

矯正治療前
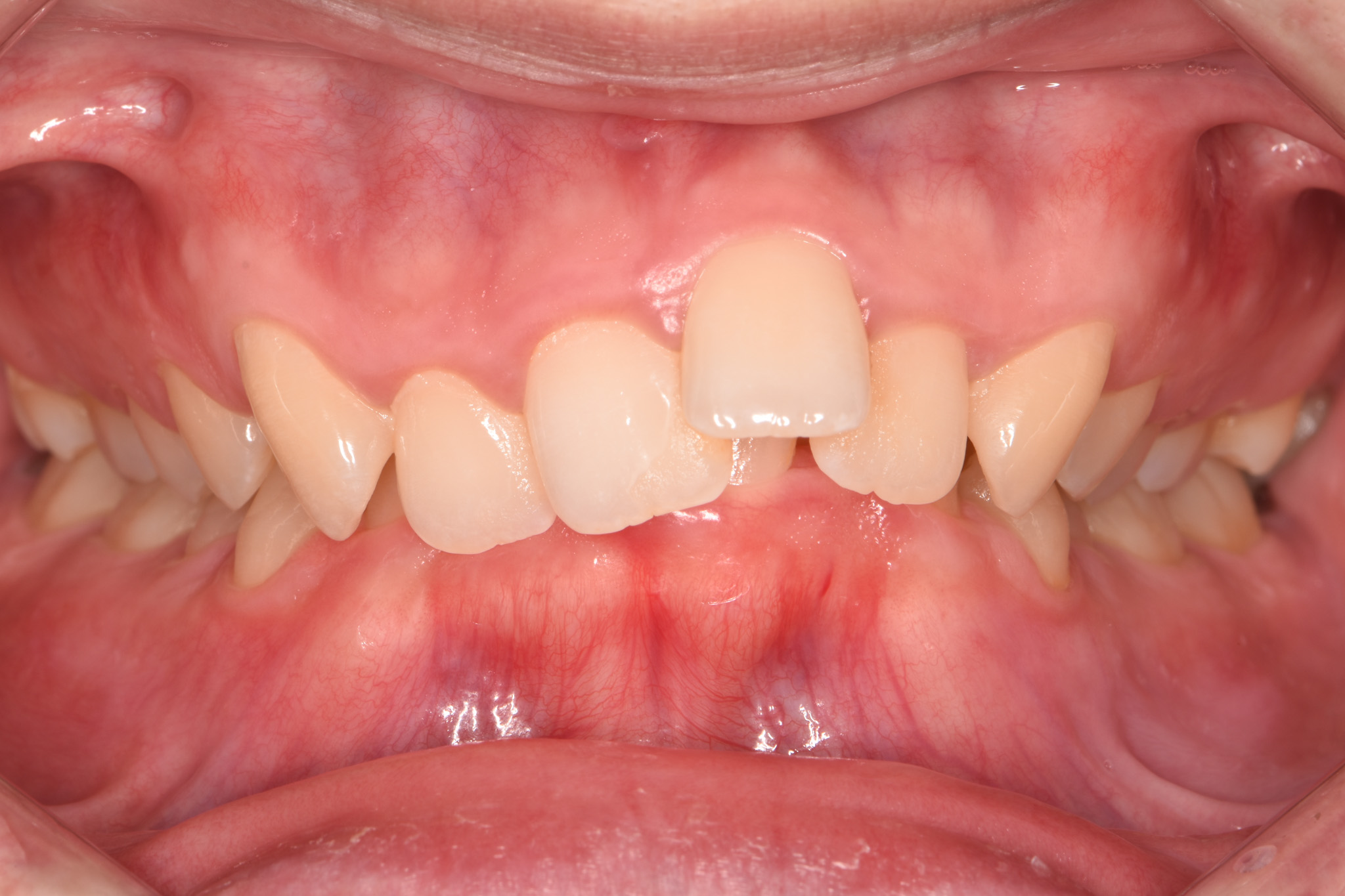
「噛み合わせがずれてきている感じがする・顎が疲れる」という訴えで当院に来院された20代男性の患者様。 「 過蓋咬合」と呼ばれる深く噛み込んでいるかみ合わせでした。その為、下の歯が上の歯茎に噛み込んでいる状態でした。

下の前歯が粘膜に噛み込んでいる様子
この状態だと慢性的に口内炎ができてしまったり、将来奥歯が何らかの理由で失ってしまった場合には前歯の状態が更に悪くなったりと様々なリスクが考えられます。 このような症例では咬合高径(かみ合わせの高さ)の挙上が必要となります。 患者様にGuided Overlayという装置でかみ合わせを高くし、ワイヤーでの矯正治療で歯並び・噛み合わせを改善する治療が可能ということを説明したところ、同意いただけましたので、各種検査を行ない診断後治療を開始しました。

治療開始後3ヶ月目
奥歯にGuided Overlayを装着し「MEAW」と呼ばれワイヤーを装着しました。 見た目には決して良くない装置ではありますが歯を三次元的に自由に移動させることができるので、歯を目的の場所まで移動させるには一番の装置となります。 またこの頃から顎間ゴムを使用するため患者様の協力も必要となります。 複雑な装置から口腔衛生管理も徹底的に行います。

矯正治療終了
動的矯正治療については1年9ヶ月で終えました。 上下の中心が若干ズレてることや、術前と比較すると改善はあるものの少し深く噛みこんでいるなど若干の課題は残りましたが、患者様の同意のもと装置を撤去し経過観察を行うこととなりました。 現在で術後約2年経過していますが、大きな後戻りもなく良好に維持できています。
